審美性に優れる高品質な技工物をスピーディーに提供可能なセレック
セレック(CEREC)での治療法
美しく輝く白い歯をあなたに。

セレック(※)システムは、医療先進国ドイツからやってきた、コンピュータ制御によって歯の修復物を設計・製作するCAD/CAMシステムです。コンピュータを使って修復物を作製するので、歯型を取ることがありません。
3D光学カメラを使用して患部を撮影(スキャン)し、患部の歯列をモニター上に再現。
そのあとはコンピュータの3D画面上にて修復物を設計し、ミリングマシンがデータをもとに作製します。
歯科技工所に依頼することなく歯科医院で修復物を作製できるので、一般的な修復物よりも経済的。
また規格生産された高品質なセラミックブロックを使用するため耐久性が高く、治療時間も約1時間と非常にスピーディーです。
美しく輝く白い歯をあなたに。
セレックは、大満足の審美歯科治療をお約束します。
※セレック(CEREC)とはCEramic REConstruction(セラミック修復)のこと。
※症例により型取りが必要な場合もあります。
| セレック セラミック修復のメリット |
|---|
① 生体親和性が高く安心で安全な材料です。 |
| セレックによる患者さまのメリット |
|---|
① 銀歯を白いセラミックにできます。(金属アレルギーの心配もありません。) |
※ 症例によってはその場でできないケースもあります。
セレック 製作の流れ
![]() |
STEP1 あなたの口の中をスキャンします |
![]() |
STEP2 コンピューターで修復物を設計します |
![]() |
STEP3 設計された修復物を切削します |
![]() |
STEP4 あなたの口の中へ接着します |
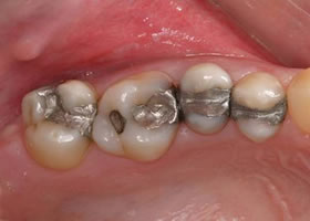
治療例
| 治療前 | 治療後 |
|---|---|
|
![]() |
| 治療内容 | セラミック修復 |
|---|---|
| 治療期間 | 最短 1時間~2時間 |
| 治療費 | ¥40,000~55,000 |
| 治療のリスク | 被せ物がかけることがある、歯を一部削る必要がある |
※症例によってはその場でできないケースもあります。
各分野の専門医による安心できる治療
一本の歯の形が気になって笑えないなどのどこに相談したら良いかわからない悩みまで幅広く対応いたします。
歯をきれいにしたい、いつまでも健康で美しくいたい、目立ちたい、など、どのような悩みにもお答えいたします。






















