審美歯科 治療例
審美歯科の症例の一部をご紹介致します。
単色 e-max インレー
| 治療前 | 治療後 |
|---|---|
![]() |
![]() |
| 治療内容 | 単色 E-max インレーよるセラミック修復 |
|---|---|
| 治療期間 | 1か月 |
| 治療費 | ¥55,000〜85,000 |
| 治療のリスク | 被せ物がかけることがある、歯を一部削る必要がある |
単色 e-max インレー
| 治療前 | 治療後 |
|---|---|
![]() |
![]() |
| 治療内容 | 単色 E-max インレーよるセラミック修復 |
|---|---|
| 治療期間 | 1か月 |
| 治療費 | ¥55,000〜85,000 |
| 治療のリスク | 被せ物がかけることがある、歯を一部削る必要がある |
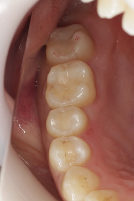
築盛 e-max インレー
| 治療前 | 治療後 |
|---|---|
![]() |
![]() |
| 治療内容 | 築盛仕上げ E-maxによるセラミック修復 |
|---|---|
| 治療期間 | 3か月 |
| 治療費 | ¥85,000~150,000 |
| 治療のリスク | 被せ物がかけることがある、歯を一部削る必要がある |
![]() |
![]() |
各分野の専門医による安心できる治療
一本の歯の形が気になって笑えないなどのどこに相談したら良いかわからない悩みまで幅広く対応いたします。
歯をきれいにしたい、いつまでも健康で美しくいたい、目立ちたい、など、どのような悩みにもお答えいたします。

























