セラミックス症例集Case
症例1
治療前

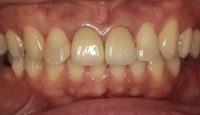
治療後

症例2
治療前

治療中

治療後

症例2
治療前

治療中

治療後

症例3
治療前

治療後

症例4
治療前

治療後

症例5
治療前

治療後

症例6
治療前

治療後

症例7
治療前

治療後

症例8
治療前

治療後

症例9
治療前

治療後

症例10
治療前

治療後

症例11
治療前

治療後

症例12
治療前

治療後

症例13
治療前

治療後

症例14
治療前

治療後

症例15
治療前

治療中

治療中

治療後

症例16
治療前

治療後

症例17
治療前

治療後

症例18
治療前

治療後

症例19
治療前

治療後

症例20
治療前

治療後

症例21
治療前

治療後
